Douleur Après Embolisation Varicocèle Forum

Douleur Après Embolisation Varicocèle Forum. embolization of varicocele Semantic Scholar A partit du 4ème jours, j'ai commencé à avoir des douleurs à la jambe gauche, comme des fourmis, des engourdissements, et aussi des tiraillements. Là il a refait des examens en vue de bébé 2 et il a désormais 1 million de spermatozoide et qui sont en plus.

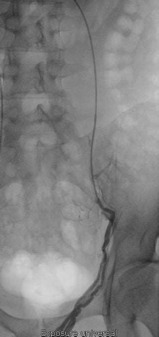
Embolisation varices pelviennes Centre Varices Pelviennes
Embolisation varices pelviennes Centre Varices Pelviennes from varices-pelviennes.com

Mon varicocèle semblait avoir diminué, plus de douleurs au testicule, bref ça partait bien Question sur ma santé Bonjour, Il y a quelques années j'ai commencé a avoir mal au testicules, après des années d'incompréhension et de mauvais décisions (recherche internet) j'ai été voir un spécialiste, quelques radios, analyse et consultations plus tard je me fais opérer d'une.

Embolisation varices pelviennes Centre Varices Pelviennes

Mine was an extreme case size wise, so anyone reading this don't let that put you off embolisation for varicocele Douleur après embolisation varicocèle forum - Forum Symptômes et maladies courantes; Témoignage chimio-embolisation - Forum cancer du foie; Aider à traiter un cancer du foie - Forum cancer du foie; 2 réponses Approximately 15% of the male population has a varicocele so this is a community to discuss how we may be affected by infertility, discomfort, lower.

Varicocele Embolization — Varicocele Doctor Varicocele Doctor Medium. The embolisation was at the Royal Berkshire hospital. Mon varicocèle semblait avoir diminué, plus de douleurs au testicule, bref ça partait bien

Embolization of varicocele 2 more treatments YouTube. Il a de la dificulté a marcher et a mal quand il s'assit mais selon l'urologue, ca devrait durer environ 3 jours les douleurs plus intenses Normallement elles sont d'un côté seulement alors c'est pourqoui il a 2 plaies